Surgeons save sailor’s severed finger after 25-hour ordeal

December 09, 2025 - 15:57
A 25-hour gap between injury and surgery would normally doom a detached finger. Vietnamese surgeons say careful preservation and precision microsurgery made the difference.
A doctor instructs the patient on rehabilitation therapy to restore finger mobility. — Photo baochinhphu.vn

HÀ NỘI — Vietnamese surgeons have successfully reattached a sailor’s right index finger after 25 hours of detachment, an outcome rarely achieved in microsurgery where prolonged loss of blood supply typically leads to irreversible tissue death.

The operation took place at Việt Đức University Hospital in Hà Nội, one of the country’s leading surgical centres, after the injured sailor was transferred from central Việt Nam following an accident at sea.

The man was working aboard an ocean-faring vessel when a storm struck and he was injured while repairing equipment, completely severing his index finger.

Crew members provided immediate first aid, placing the detached finger in a thermal container before rushing him to the nearest shoreline medical facility. After receiving emergency care, the patient requested reattachment and was transported to Hà Nội for specialist surgery.

By the time the procedure began, the finger had been without blood supply for around 25 hours, a period that normally places reattachment at a very high risk of failure.

"Prolonged ischemia is usually the biggest barrier in limb replantation," said Vũ Trung Trực, deputy director of the hospital’s maxillofacial and reconstructive surgery department, who led the operation. "This was an exceptionally rare case."

A multidisciplinary team of plastic surgeons, orthopaedic specialists and anaesthesiologists assessed the severed finger and determined that it had been preserved properly. The joint remained flexible and tissue damage was limited, crucial conditions that made reattachment viable despite the lengthy delay.

Two surgical teams worked simultaneously, with one preparing the detached finger and the other the stump. Surgeons stabilised the bone with specialised pins, repaired tendons and ligaments and reconnected nerves and blood vessels less than one millimetre in diameter using high-powered microscopes.

"A single failed vascular connection would mean the entire fingertip could not survive," Trực said, adding that doctors closely monitored temperature, circulation and the risk of vascular spasm throughout and after the procedure.

The finger gradually regained healthy colour and circulation post-surgery. The patient has since had stitches and fixation pins removed and is now undergoing rehabilitation to restore movement and sensation.

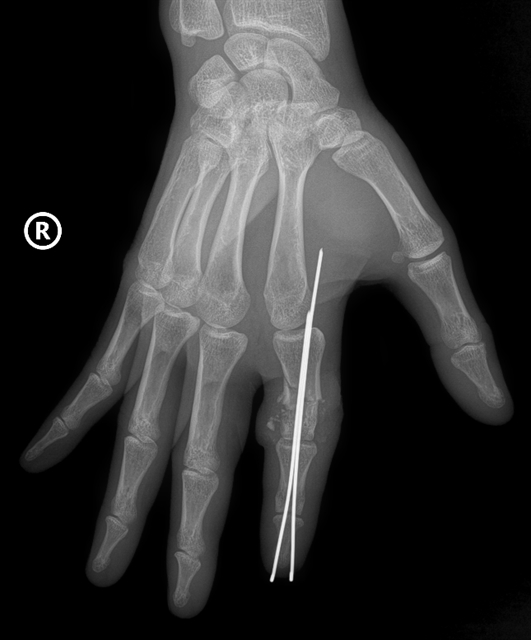
An X-ray image shows the patient’s severed finger after it was aligned and fixed with specialised pins.

Doctors said the success of the operation hinged on three factors: correct preservation at the scene, the finger’s relatively high tolerance to oxygen deprivation compared with larger muscle-rich limbs and close coordination among highly experienced surgical teams.

The case has also prompted renewed warnings from medical professionals about first-aid response to traumatic amputations, a decisive factor in determining whether reattachment is possible.

Experts advise that detached body parts should not be washed or soaked in antiseptic solutions. If heavily contaminated, they may be gently rinsed with clean drinking water. The part should then be wrapped in clean gauze, sealed in a plastic bag and placed inside another bag containing ice, without direct contact between tissue and ice.

"Calm handling and correct preservation at the scene can dramatically increase the chances of successful surgery and help prevent lifelong disability," a hospital official said. — VNS

E-paper