Robotic precision saves patient with large kidney tumour in HCM City

October 11, 2025 - 15:22
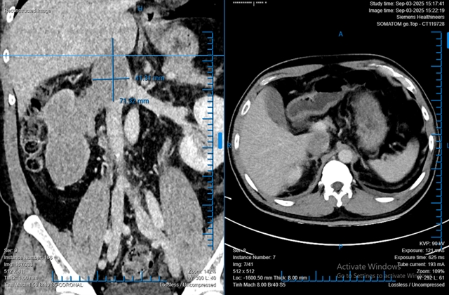
Doctors at Bình Dân Hospital in HCM City have successfully performed a fully robotic radical nephrectomy to remove a large kidney tumour, with a tumour thrombus extending 76mm into the inferior vena cava (IVC), from a 48-year-old male patient.
Doctors at Bình Dân Hospital in HCM City have successfully performed a fully robotic radical nephrectomy to remove a large kidney tumour with a tumour thrombus extending 76mm into the inferior vena cava (IVC) from a 48-year-old male patient.

HCM CITY — Doctors at Bình Dân Hospital in HCM City have successfully performed a fully robotic radical nephrectomy to remove a large kidney tumour, with a thrombus extending 76mm into the inferior vena cava (IVC), from a 48-year-old male patient.

This is the most extensive case of its kind in Việt Nam completed entirely with robotic surgery, without open surgery assistance.

Renal cell carcinoma (RCC) is the sixth most common cancer in men and the tenth in women, with over 434,000 new cases and 155,000 deaths worldwide in 2022.

About 4–10 per cent of RCC patients develop tumour thrombi in the renal vein or IVC.

According to international guidelines, surgery remains the first-line treatment for these patients.

The patient, L.T.D., 48, from Quảng Trị Province, was diagnosed with a large right kidney tumour measuring 68 x 86 x 138mm with a thrombus extending into the IVC.

Without surgery, his condition was life-threatening. The eight-hour operation involved four specialist teams in urology, hepatobiliary, cardiovascular, and anaesthesiology.

Dr. Phạm Phú Phát, head of Urology A at the hospital, who led the operation, said: “This was the largest tumour thrombus he has ever removed — 76mm in length.

“Thanks to robotic precision and teamwork, we completed the procedure entirely robotically.”

The patient lost only 600ml of blood, required no transfusion, and was discharged after 10 days in stable condition.

Without timely treatment, his expected survival would have been only about five months.

Dr. Phát emphasised the importance of early detection: “Renal cell carcinoma can be found by ultrasound when the tumour is just 1–3cm. Early diagnosis allows easier and less costly treatment.”

The patient recovers well after undergoing Việt Nam’s most extensive fully robotic kidney tumour surgery at Bình Dân Hospital in HCM City. — Photo Courtesy of the hospital

Since 2016, Bình Dân Hospital has pioneered robotic surgery for adults in Việt Nam.

The system’s 3D magnified vision and precise movements allow minimally invasive operations with less blood loss and faster recovery.

From 2021, seven robotic-assisted surgeries for kidney tumours with thrombi have been successfully performed at the hospital.

Over the past decade, the hospital has treated 3,851 kidney tumour cases, including 834 robotic surgeries in the last five years — marking major progress toward precision and minimally invasive cancer treatment in the country. — VNS

E-paper